Կլինիկական դեպք. թիակի ամբողջական հեռացում` Յուինգի սարկոմայի կապակցությամբ
Բժիշկներ
Սարգիս Նազարի Մարգարյան
Ոսկրային սարկոմաներն ախտահարում են կմախքի գրեթե բոլոր հատվածները, որի արդյունքում խնդիր է առաջանում հեռացված հատվածի ռեկոնստրուկտիվ վիրահատությունների շնորհիվ վերականգնել վերջույթի ֆունկցիան: Որոշ դեպքերում դա հաջողվում է, իսկ որոշ դեպքերում, ցավոք, ամոքիչ վիրահատության հարց է առաջանում:
Շատ լուրջ խնդիր է առաջանում տափակ ոսկրերի ռեզեկցիաների ժամանակ, որոնք կրում են կարևոր ֆունկցիոնալ դեր: Դրանց են պատկանում թիակի ախտահարումները: Թիակը՝ բացի կարևոր ֆունկցիոնալ դերից, կրում է նաև էսթետիկ դեր: Թիակի մարմնի ռեզեկցիաները, անկախ իրենց ծավալից, գլենոիդի պահպանմամբ չեն բերում ֆունկցիոնալ մեծ խանգարումների: Սակայն թիակի սարկոմաների ժամանակ, երբ թիակի ամբողջական հեռացման հարց է դրվում, բացի ֆունկցիոնալ խանգարումներից, առաջանում են վերջույթի կախվելու տեսքով էսթետիկ շեղումների խնդիր: Դրանք լինում է այն դեպքում, երբ չի հաջողվում պահպանել անրակի ակրոմիալ հատվածն` իր կապաններով։
Ներկայացված կլինկական դեպքում, 14 տարեկան տղայի մոտ, ախտորոշվել էր թիակի Յուինգի սարկոմա: Ի սկզբանե, գոյացության չափերը մեծ էին և ախտահարված էր ամբողջ թիակը:
Նեոադյուվանտ քիմիաթերապիայի կուրսերից հետո հաջողվեց ամբողջովին վերացնել ուռուցքի փափուկ հյուսվածքային կոմպոնենտը և կատարել ռադիկալ վիրահատություն` պահպանելով անրակի ակրոմեալ հատվածn` իր կապաններով, որոնց ֆիքսվեց ուսահոդու շապիկի մնացած հատվածը:
Ուռուցքաբանության մեջ առաջին պահանջը ռադիկալ վիրահատությունն է, իսկ երկրորդը՝ վերականգնել այն, ինչ հեռացվել է: Թիակի ամբողջական հեռացումից հետո ունենալ գերազանց ֆունկցիոնալ արդյունքներ, գրեթե անհնար է, քանզի հեռացվում է ամբողջ հոդամակերեսը: Իսկ էսթետիկ առումով շատ կարևոր է կանխել վերջույթի կախվելը: Մեր այս դեպքում, հաջողվեց ստանալ այնպիսի էսթետիկ և ֆունկցիոնալ ուսագոտի, որը լիովին բավարարում է հիվանդին:
Նման վիրահատությունները հազվադեպ են իրենց ծավալով և պետք է կատարվեն համապատասխան մասնագետների կողմից։
Վիրահատությունը իրականացրել է Օրթոպեդիայի և վնասվածքաբանության կլինիկայի ղեկավար, բ․գ․թ Սարգիս Նազարի Մարգարյանը


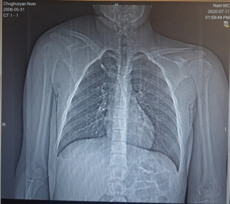
Նկար 1․ Թիակի ռադիոլոգիական պատկերը


Նկար 2․ Վիրահատությունից հետո ` առկա է գերազանց էսթետիկ արդյունք
