Կլինիկական դեպք. ոսկրահոդային դեֆեկտի անհատական էնդոպրոթեզավորում
15 Mar 2022
Բժիշկներ
Գալուստ Հարությունի Գալուստյան
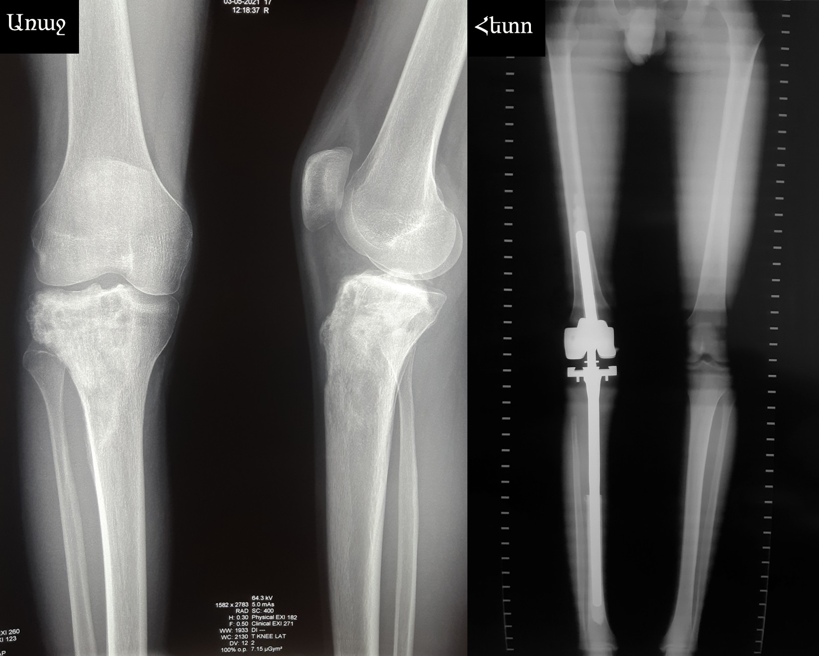
Պացիենտը 17 տարեկան է:
Ախտորոշումը՝ աջ ոլոքի վերին երրորդականի օստեոսարկոմա:
Ստացել է նախավիրահատական հինգ կուրս քիմիաթերապիա Յոյլանի անվ. Արյունաբանական կենտրոնում, որից հետո ընդունվել է «Նաիրի» բժշկական կենտրոն վիրահատական բուժման նպատակով:
Կատարվել է ոլոքի վերին երրորդականի և ծնկահոդի մասնահատում՝ ուռուցքի հեռացումով:
Առաջացած ոսկրահոդային դեֆեկտի անհատական էնդոպրոթեզավորում է կատարվել:
