Հենաշարժիչ համակարգի քաղցկեղը մեր բժիշկների կողմից հաղթահարված է ՝ օրգանի պահպանմամբ:
Բժիշկներ
Գալուստ Հարությունի Գալուստյան
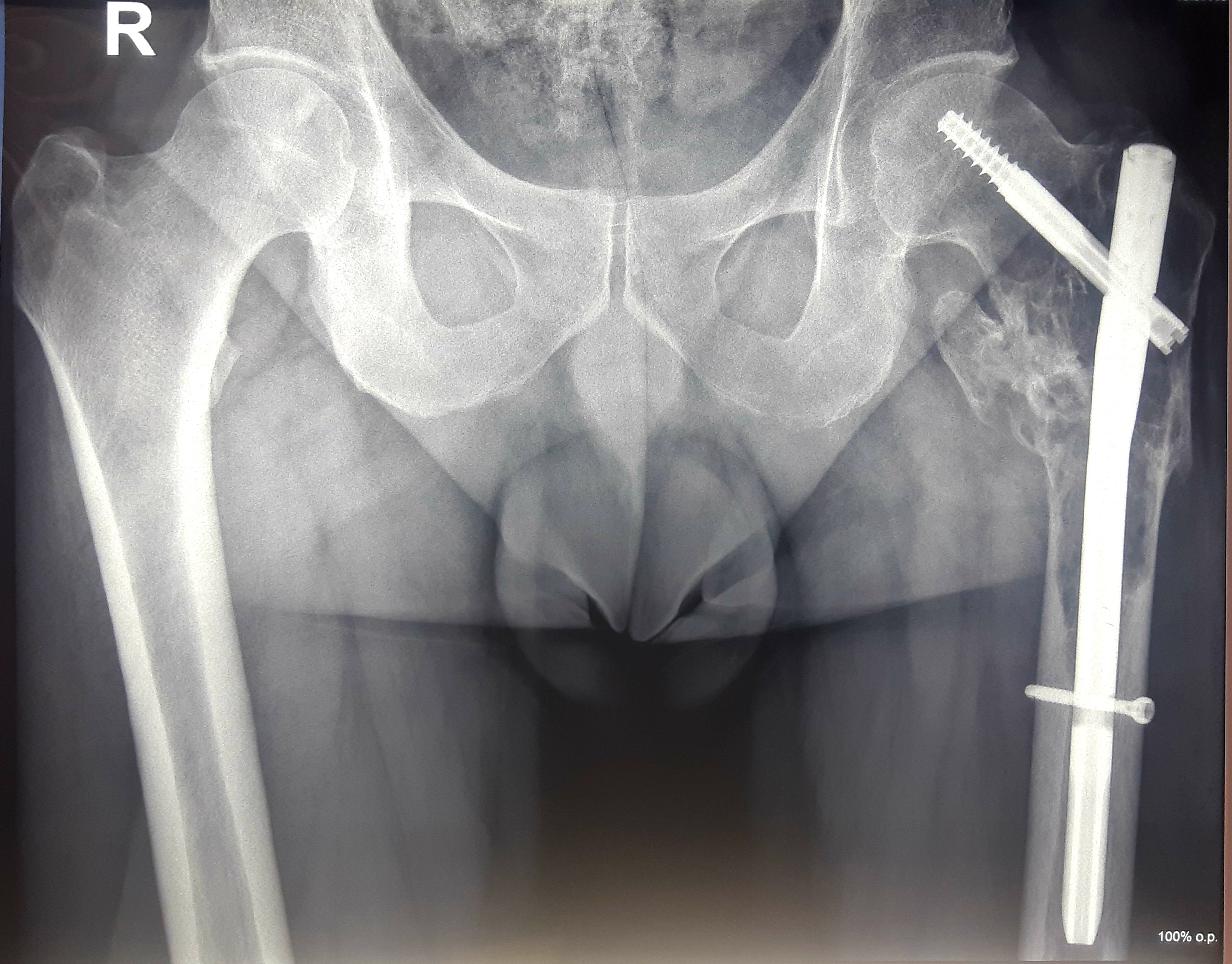
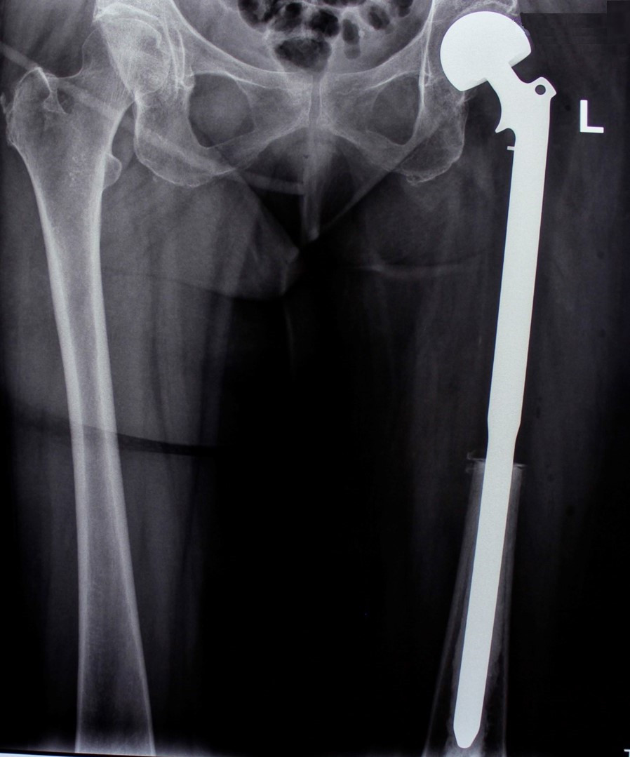
1 . ՌԴ-ում երկրորդային բնույթի կոտրվածքի ֆիքսացիա իրականացնելուց հետո՝ 40-ամյա բուժառուն դիմել է «Նաիրի» ԲԿ։ Բուժառուի մոտ ախտորոշվել է ոսկրային պլազմոցիտոմա։ Քիմոթերապիա ստանալուց հետո՝ 40-ամյա բուժառուն վիրահատվել է։ Կոնք-ազդրային հոդի հետ միասին հեռացվել է ազդրոսկրի վերին երրորդականը։ Առաջացած դեֆորմացիան շտկվել է էնդոպրոթեզով: «Նաիրի» ԲԿ-ի փորձառու թիմի և պրոֆեսիոնալ մոտեցման շնորհիվ՝ հաջողվել է պահպանել բուժառուի գործող վերջույթը։

Վիրահատությունից առաջ

Վիրահատությունից հետո
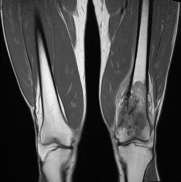
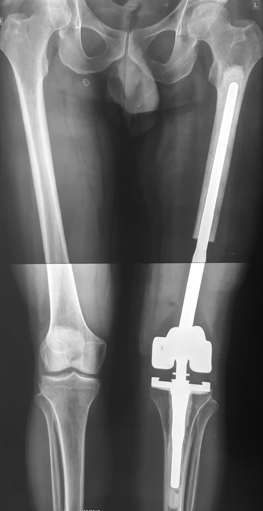
2. Բժշկական տարբեր կենտրոններում հետազոտվելուց հետո՝ 17-ամյա պատանին դիմել է «Նաիրի» ԲԿ։ Համապատասխան հետազոտություններ անցնելուց հետո՝ բուժառուի մոտ հայտնաբերվել է ոլոքի օստեոսարկոմա (ոսկրային քաղցկեղ): Նախավիրահատական բուժում ՝ քիմիոթերապիա, ստանալուց հետո՝ «Նաիրի» ԲԿ ում կատարվել է օրգանապահպան վիրահատություն : Հեռացվել են ծնկահոդն ու ոլոքի վերին երորդականը: Առաջացած դեֆորմացիան շտկել է Եվրոպայից պատվիրված էդոպրոթեզով, որը հնարավորություն է տվել պահպանել վերջույթի գործառույթը՝ քայլել, վազել և այլն։ Հետվիրահատական շրջանում բուժառուն ստացել է քիմիոթերապիա։ Այժմ գտնվում է բժիշկների հսկողության ներքո։

Վիրահատությունից առաջ

Վիրահատությունից հետո
3․Մետաստազ ազդրոսկր + կոնք-ազդրային հոդ
68-ամյա պացիենտի մոտ ախտորոշվել էր թոքի քաղցկեղ։ Անցնելով համապատասխան հետազոտություններ՝ պացիենտի ոսկրային հատվածում հայտնաբերվել էին սոլիտար (եզակի) մետաստազներ: Բուժման նպատակով ՝ վերջինս ստացել է քիմոթերապիայի կուրսեր։
Հաշվի առնելով օրգանիզմի դրական պատասխանը քիմիոթերապիայի և ուռուցքի զգայունությունը դեղորայքի նկատմամբ։ Իրականացվել է ռադիկալ վիրահատություն։ Հեռացվել է ազդոսկրի վերին երրորդականը, առաջացած դեֆեկտը շտկվել է մոդուլային էնդոպրոթեզով՝ վերջույթի ֆունկցիայի կայուն վերականգնմամբ։ 68-ամյա բուժառուն ստացել է հետվիրահատական դեղորդայքային բուժում։ Վերջինս իրեն լավ է զգում։

Վիրահատությունից առաջ

Վիրահատությունից հետո
4․Ուսահոդ հսկաբջջային (միջանկյալ ուռուցք՝ չարորակ դառնոլու միտումով )
14-ամյա երեխայի մոտ ախտորոշվել էր հակաբջջային ուռուցքի լիտիկ և ուռուցքի լիտիկ տարբերակ՝ ոսկրի արտահայտված փափուկ հյուսվածքային կոմպոնենտով և ներաճով դեպի թևատակի բջջանք ու դելտանման մկան : Կատարվել է ոսկրի մասնակի հեռացում, առաջացած դեՖեկտը վերականգնվել է մետաղացեմենտային սպեյսերով , որը հթույլ տվել հետագայում իրականացնել կոնվերսիա և ժամանակավոր պրոթեզը փոխարինել վերջնականով : Այս մեթոդը թույլ է տալիս խնայել արդքան թանկ ժամանակը ՝ մինչև էնդոպրեթեզի պատրաստ լինելու։

Վիրահատությունից առաջ

Վիրահատությունից հետո
5․Ազդորոսկրի խոնդրոսարկոմա
37-ամյա տղամարդուն անհանգստացնում էին ազդրի երրորդականում առկա ցավերը։ Պացիենտի մոտ ախտորոշվել էր ազդրոսկորի խոնդրոսարկոմա (ուռուցք )։ Հաշվի առնելով, որ ուռուցքի այդ տեսակը ենթակա չէ քիմիաթերապիայի՝ մասնագետները դիտարկեցին վիրահատության երկու տարբերակ՝ ամպուտացիա (վերջույթների հատում) , պահպանողական վիրահատություն : Ընտրվեց 2-րդ տարբերակը՝ ուռուցքնա ամբողջությամբ հեռացվեց։ Առաջացած դեֆեկտը վերականգնվեց Եվրոպայում պատվիրված էնդոպրոթեզով, որի շնորհիվ պահպանել է վերջույթը , հիվանդը կարողանում քայլել: Հիիվանդությունից տարիներ են անցել, պացիենտը լիարժեք առողջ է ։


Վիրահատությունից առաջ


Վիրահատությունից հետո
Բոլոր վիրահատություններն իրականցվել են «Նաիրի» ԲԿ-ի օնկոօրթոպեդիայի և ոսկրային պաթոլոգիայի ծառայության ղեկավար ՝ բ.գ.թ. Գալուստ Գալուստյան ղեկավարությամբ։ Բժշկի մեկնաբանմամբ՝ այն վիրահատությունները, որոնք կատարվում են մեր « Նաիրի» ԲԿ-ում ՝ իրականացվում են նաև աշխարհի առաջատար կլինիկաններում։ Դրա ապացույցն է պացիենտների ապրելիության ցուցանիշը և ֆունկցիոնալ արդյունքները :
