Успешное органосохраняющее лечение опухолей опорно-двигательного аппарата специалистами нашей клиники.
Все нижеперечисленные уникальные операции были проведены в МЦ ''Наири'' руководителем службы онкоортопедии и костной патологии, к.м.н. Галустом Галустяном. По словам специалиста, операции, данные операции, проводимые в МЦ "Наири", могут составить честь любой клинике мира. Доказательством этого являются показатели выживаемости и функциональные результаты пациентов.
1. Солитарная плазмоцитома верхней трети бедренной кости.
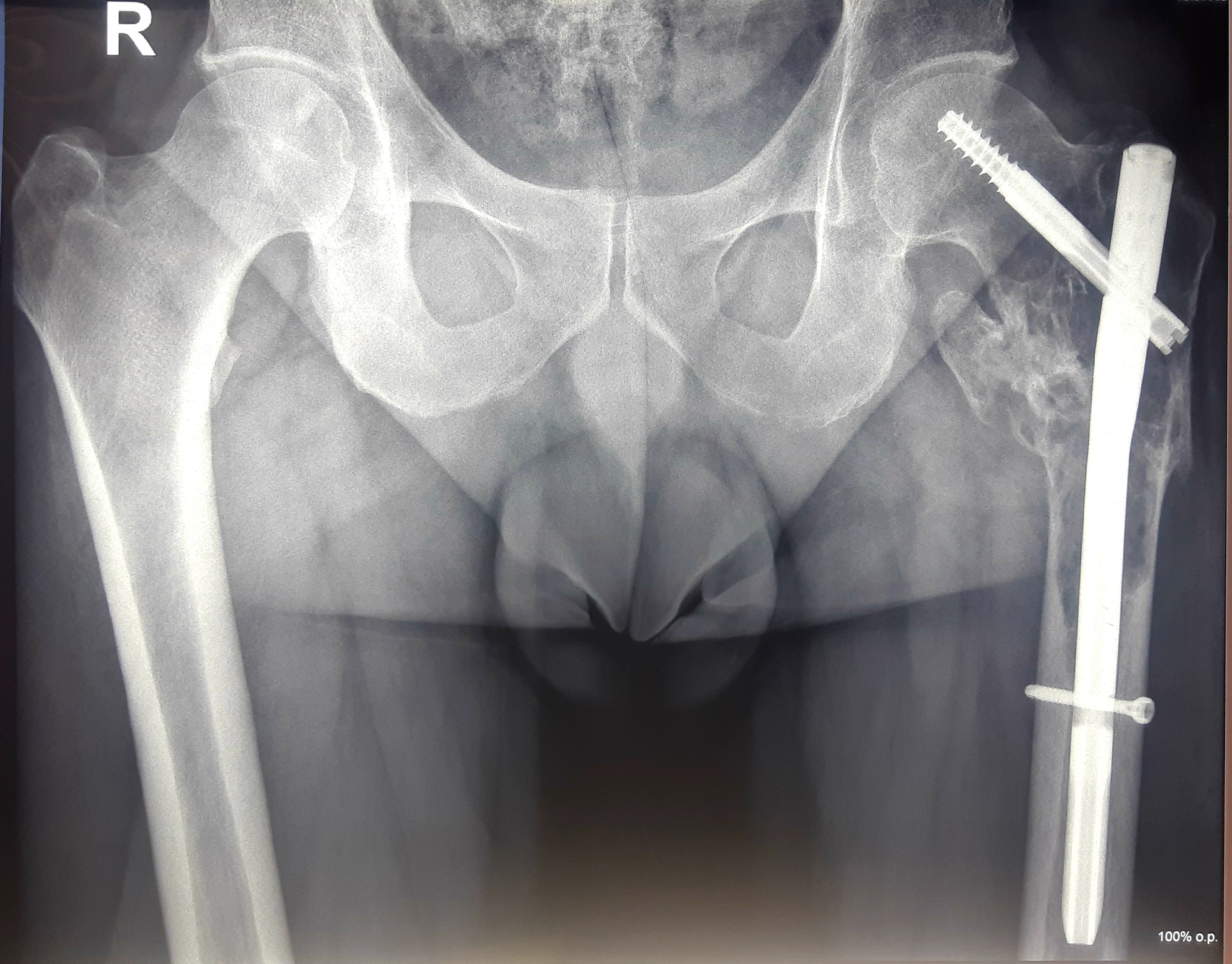
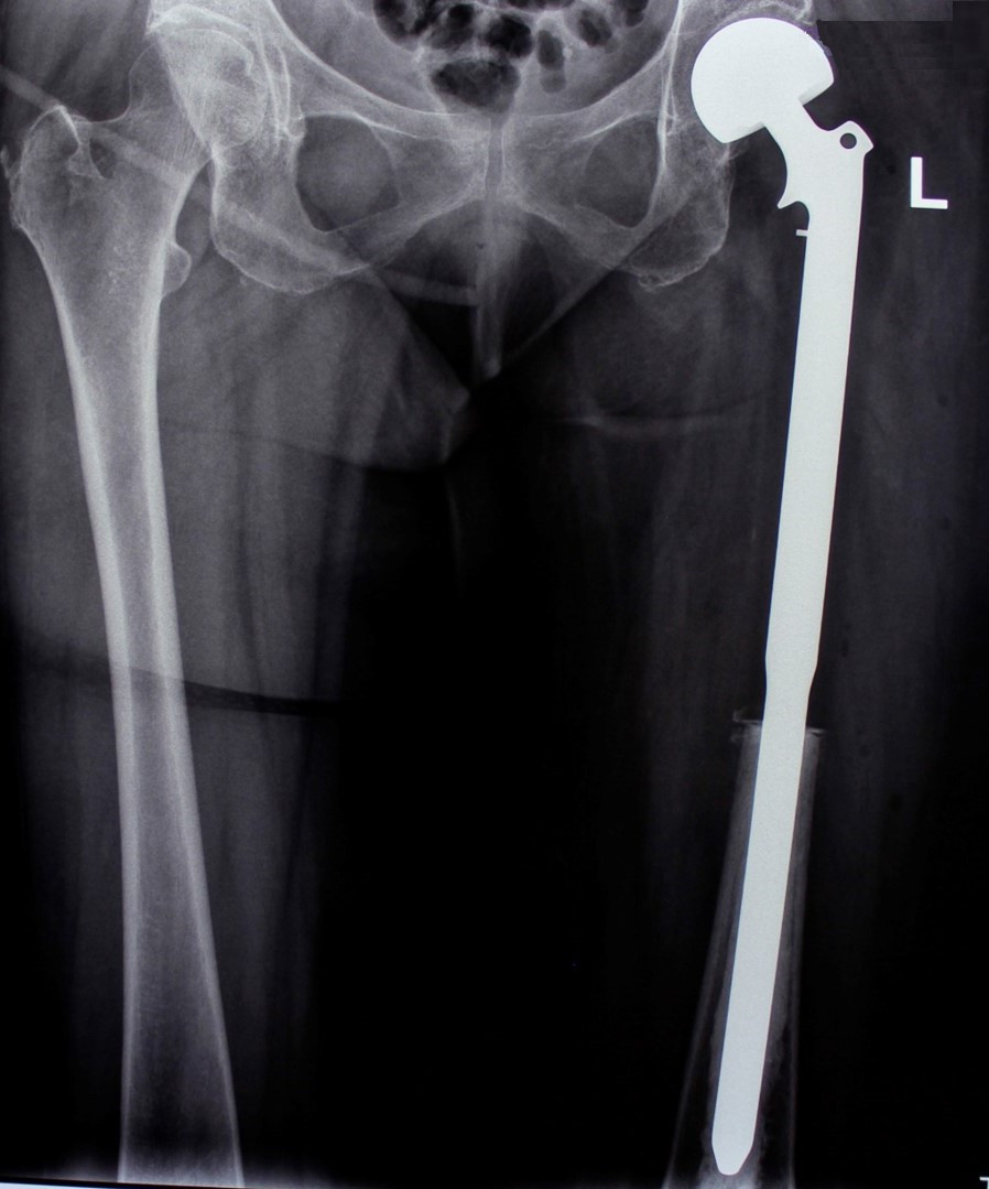
После хирургического лечения в одной из зарубежных клиник по поводу перелома бедренной кости, как впоследствии оказалось, вторичного характера, 40-летний пациент обратился в МЦ ''Наири''.
В ходе обследования была диагностирована солитарная плазмоцитома.
После проведения предоперационной химиотерапии пациент был прооперирован – была произведена сегментарная резекция верхней трети бедренной кости, образовавшийся дефект был замещен индивидуальным биполярным эндопротезом бедренной кости и тазобедренного состава, изготовленным на заказ в Европе. В результате проведения органосохранного лечения удалось сохранить функционирующую конечность пациента.

До операции
После операции
2. Остеосаркома большеберцовой кости
17-летний юноша обратился в МЦ ''Наири'' с жалобами на боли в области коленного сустава. После прохождения обследования у пациента была диагностирована остеосаркома большеберцовой кости.
После получения предоперационной химиотерапии в МЦ ''Наири" была проведена органосохраняющая операции – сегментарная резекция верхней трети большеберцовой кости и коленного сустава, замещение образовавшегося костно-суставного дефекта индивидуальным, изготовленным на заказ эндопротезом. В послеоперационном периоде пациент продолжил показанную по протоколам химиотерапию. В настоящее время лечение завершено, признаков прогрессирования заболевания нет, оперированная конечность функционально пригодная, опороспособность полная.

До операции

После операции
3. Метастаз в верхнюю часть бедренностой кости (первичная опухоль – рак легкого).
Пациентка 68 лет с ранее диагностированным раком легкого, получала химиотерапию, во время которого появились боли в тазобедренном суставе. В результате обследований был выявлен единичный метастаз в верхней трети бедренной кости с угрозой патологического перелома. Учитывая положительную реакцию организма на химиотерапию, чувствительность опухоли к лекарственным препаратам, была проведена радикальная операция. Во время операции была удалена верхняя треть бедренной кости, возникший дефект был восстановлен модульным биполярным эндопротезом, который позволяет сразу в зависимости от размера костного дефекта в ходе одной операции по принципу конструктора Lego восстановить дефект. Пациентка в дальнейшем получала послеоперационную химиотерапию, была предотвращена угроза патологического перелома, устранены боли, восстановлена функциональная пригодность оперированной конечности.

До операции

После операции
4. Гигантоклеточная опухоль верхней трети плечевой кости
У 14-летнего ребенка был литический вариант гигантоклеточной опухоли с выраженным мягкотканным компонентом, врастающим в подмышечную клетчатку и дельтовидную мышцу. Произведено удаление опухоли путем резекции верхней части плечевой кости, образовавшийся дефект был восстановлен металло-цементным спейсером. Этот метод позволяет оперировать больных с костными опухолями в максимально краткие сроки, во избежание прогрессирования заболевания.

До операции

После операции
5. Хондросаркома бедренной кости
37-летний пациент обратился в клинику с жалобами на боли в области верхней трети бедра. В ходе обследования была диагностирована хондросаркома бедренной кости. Учитывая, что данный вид опухоли не поддается химиотерапии, специалисты рассмотрели два варианта операции: ампутацию, операцию с сохранением органа. С учетом нечувствительности данного варианта опухоли к лекарственному и лучевому лечению выбор стоял между проведением ампутации (которую рекомендовали в ряде зарубежных клиник в ходе телеконсультаций ввиду выраженного мягкотканного компонента) и органосохраняющим вмешательством. Произведено хирургическое лечение – сегментарная резекция бедренной кости и коленного сустава, замещение дефекта индивидуальным эндопротезом. Спустя 7 лет после операции пациент жив, местного рецидива и отдаленных метастазов заболевания не выявлено, функция оперированной конечности оценивается на «отлично».
До операции


После операции


